【インプラント周囲炎で骨が大きく溶けた】 撤去が必要なインプラントを除去し、 隣のインプラントを守れた症例 (インプラント周囲炎治療)
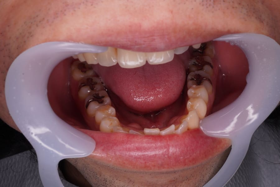
Before
After
| 性別 | 女性 |
|---|---|
| 年齢 | 70代 |
| 症例概要・補綴専門医の分析 | ■ 患者さんのお悩み ■ 結論 ■ なぜこの状態になったのか 原因は複数ありました。 本症例では、まず構造的な問題として さらに、お口全体の普段みがきの段階から これらの条件が重なり、 インプラント周囲炎では、骨が急速に ■ 治療前の状態 連結されていたため ■ 治療のポイント ■② 残存インプラントの周囲炎治療 1)連結除去により残存インプラントの清掃環境が 2)不十分な口腔衛生状態の改善 以上の2つにスポットを当て 【成功のポイント】 徹底した口腔衛生指導 並行して以下の治療を行った ・化学的除染 これらの治療を5~8回繰り返しました。 インプラント撤去後、約10ヶ月治療と経過観察を繰り返し、 ■③ メインテナンス そのため当院では、炎症の鎮静化、骨吸収の進行 |
| 治療期間・回数 | 治療期間:10ヶ月 来院回数:23回 |
| 費用 (自由診療となります) |
自由診療及び保険診療 総額:142,000円 (診査・診断・インプラント撤去・レーザー治療 ・機械的清掃治療・化学的洗浄メインテナンス ・説明費用含む) *症例の状態や治療内容により費用は異なります。 |
| リスク・副作用 | インプラント周囲炎の再発 |
| 術後の対策 補綴専門医の視点 | ■ 術後の管理 ■ ご相談について *すべての症例で同様の結果を保証するものでは ▷インプラント周囲炎の完全解説 |


