●こんなお悩みはありませんか?
- 何度も同じ歯を治療している
- セラミックが割れた経験がある
- どこへ行っても根本的には治らない
- 本当に必要な治療を知りたい
- 将来を見据えた治療を受けたい
それは「治療法」ではなく
「設計」が原因かもしれません。
歯科治療は
「何を入れるか」より
「どう設計するか」で寿命が決まります。
●SHIRON DENTAL OFFICEの治療方針
●SHIRON DENTAL OFFICE が選ばれる理由
1. 補綴歯科専門医による
「壊れない設計」
噛み合わせ・力の分散・10年後の変化まで計算
再治療を繰り返さないための
「設計」から始めます
2. CT×マイクロ×レーザーの精密治療
見えない部分まで診断し
必要最小限の処置で守る
削りすぎない
取り残さない
再発させない治療
3. 納得してから治療開始
いきなり削りません
十分な説明と選択肢を提示
患者さまが理解・納得してから進めます
【恵比寿で再発させない治療を重視する歯医者】
●「補綴歯科専門医」
「補綴歯科専門医」とは
歯科補綴学の専門的知識および
臨床技能・経験を有する優れた
歯科医師(5年毎の更新)
限られた歯科医師に付与される資格です。
日本補綴歯科学会・日本歯科専門医機構の
公開情報でも確認できます。
▷詳しくはこちら
●セラミック修復物のレジンセメント
による合着の際、ラバーダム防湿の重要性
一本の修復物にもこだわる補綴専門医
▷セラミック修復物のレジンセメント
による合着の際、ラバーダム防湿の
重要性
セラミック修復物のレジンセメント合着における
ラバーダム防湿の重要性
1. レジンセメントは「接着」で
保持している
従来の合着材(リン酸亜鉛セメント
・グラスアイオノマーセメント
・カルボキシレートセメントなど)は
1)機械的嵌合
2)摩擦保持
によって維持されます。
一方、レジンセメントは接着性材料であり
歯質・セラミック・レジンセメント
の三者を化学的・微細機械的結合で
接着させます。
つまり
接着が成立しなければ
維持力は大きく低下します。
そのため
接着操作の環境管理が極めて重要になります。
2. 接着操作は「水分汚染」に
極めて弱い
レジン接着の基本は
1.歯質処理(Etchingなど)
2.プライマー
3.ボンディング
4.レジンセメント
という手順です。
この過程では
象牙質コラーゲン網へのモノマー浸透
によって
ハイブリッド層
が形成されます。
しかし
唾液や血液が混入すると
・接着阻害
・モノマー浸透阻害
・重合阻害
が起こります。
その結果
・接着強度低下
・辺縁漏洩
・脱離
・二次う蝕
の原因になります。
3. 唾液汚染が接着強度を大きく低下させる
研究では
唾液汚染により接着強度が50〜70%低下する
ことが報告されています。
主な理由は
唾液に含まれる
・糖タンパク
・ムチン
・酵素
が
歯面にタンパク質膜(pellicle)
を形成し
レジンモノマーの浸透を阻害するためです。
4. 血液汚染はさらに深刻
歯肉縁下マージンでは
出血汚染が問題になります。
血液には
・フィブリン ・血球 ・タンパク
が含まれ
歯面に強固な被膜を形成します。
これは
水洗ではほぼ除去できません。
結果
・接着不良
・早期脱離
の原因になります。
5. セラミック側の処理も
汚染に弱い
セラミック修復物の接着では
通常
・サンドブラスト処理
・フッ化水素酸エッチング
・シランカップリング
が行われます。
シラン処理後の表面は
非常に高い表面エネルギー
を持つため
わずかな汚染でも接着が阻害されます。
特に
試適後の唾液汚染は
シラン層を失活させる
ことが知られています。
そのため
試適後には
・リン酸洗浄 ・再シラン
などが必要になります。
6. ラバーダムは唯一
確実な防湿方法
防湿方法には
・綿球 ・排唾管 ・オプトラゲート
などがあります。
しかし
これらは
完全な防湿にはなりません。
理由
・舌運動
・唾液腺分泌
・歯肉溝滲出液
・呼気湿度
があるためです。
一方
ラバーダムは
・唾液
・舌
・頬粘膜
・呼気湿度
を遮断できる
唯一の確実な方法です。
7. ラバーダムが接着成功率を高める理由
ラバーダムにより
①乾燥環境の確保
接着操作に理想的な湿度環境が得られる。
②視野確保
拡大視野下で精密操作が可能。
③接着操作の確実性
エッチング・プライミングが正確に行える。
④コンタミネーション防止
唾液・血液・呼気の影響を排除。
⑤セメント除去が容易
余剰セメント除去が確実。
8. 長期予後にも影響する
ラバーダム未使用の場合
長期的に
・辺縁漏洩
・セメント劣化
・二次う蝕
・脱離
のリスクが上昇します。
特に
ラミネートベニア
では
接着が唯一の保持要素のため
ラバーダムの有無が
予後を大きく左右します。
9. 国際的な推奨
多くの接着歯学のガイドラインでは
接着操作=ラバーダム推奨
とされています。
代表例
・接着歯学会
・Operative Dentistry
・Adhesive Dentistry textbooks
など。
まとめ
セラミック修復物のレジンセメント合着では
接着の成功が治療成功の鍵になります。
そして
接着成功の条件は
完全な防湿
です。
ラバーダムは
・唾液
・血液
・湿度
による汚染を防ぐ
最も確実な方法であり
セラミック修復物の
長期安定性と予後に大きく関わる重要な操作
と言えます。
●補綴専門医がラバーダム防湿を
重視する理由
補綴専門医がラバーダム防湿を重視する理由
補綴専門医がラバーダムを重視する理由は、
単に「唾液を防ぐため」ではありません。
補綴治療の本質である「長期安定性」と
「精密な接着操作」を成立させるために
必要不可欠だからです。
補綴専門医の臨床思考は一般的に
「治療が成功するか」ではなく
「10年・20年持つか」
という時間軸で考えます。
この視点から見ると、
ラバーダムは非常に重要になります。
補綴専門医がラバーダムを
重視する理由
1 接着の再現性を確保するため
セラミック修復の成功は
接着の再現性
に大きく依存します。
接着は
・エッチング
・プライミング
・ボンディング
・レジンセメント重合
という複数の工程で成立します。
これらは
水分・唾液・血液
に非常に弱い操作です。
ラバーダムがない場合
・唾液腺からの分泌
・歯肉溝滲出液
・呼気の湿度
などが入り込み
毎回同じ接着環境を作ることが難しくなります。
補綴専門医は
「偶然成功する治療」ではなく
「毎回成功する治療」
を目指すため、ラバーダム防湿を重視します。
2 セラミック修復は接着が
生命線
従来の金属修復は
・摩擦
・嵌合
で保持されます。
しかし現在の
e.max
ジルコニア
などのセラミックは
接着が保持力の中心
です。
接着が失敗すると
・脱離
・マイクロリーケージ
・二次う蝕
が起こります。
つまり
ラバーダム=補綴物の寿命
に関わります。
3 マージンの清掃と視野確保
補綴治療では
マージンの管理
が極めて重要です。
ラバーダムを使用すると
・視野が確保される
・軟組織が排除される
・乾燥が確保される
ため
・余剰セメント
・接着不良
・マージン汚染
を防ぎやすくなります。
余剰セメントの残存は
特に
インプラント周囲炎
歯周炎
の原因になるため
補綴専門医ほど慎重に除去します。
4 マイクロリーケージの防止
接着不良があると
マイクロリーケージ
が起こります。
これにより
・二次う蝕
・接着層劣化
・セメント溶解
・修復物脱離
が起こります。
補綴専門医は
10年以上の予後
を見据えるため
このリスクをできるだけ排除します。
ラバーダムは
リーケージの最大原因である唾液汚染を防ぐ
ため重要になります。
5 咬合調整の精度
口腔内が湿っていると
咬合紙が滑る
接触点が不明確
になります。
ラバーダムを外す前に
接着
セメント除去
を確実に行うことで
精密な咬合調整
が可能になります。
補綴専門医は
咬合負担による破折
を強く意識するため
咬合精度を重視します。
6 医療安全
ラバーダムには
誤飲防止
の役割もあります。
小さな器具・修復物
・バー
・インレー
・ラミネートベニア
などが
気道・気管に落ちるリスクを防ぎます。
補綴専門医は
安全性を含めた治療品質
を重視します。
7 国際基準に近い治療
欧米の歯科臨床においては
接着操作=ラバーダム
が標準です。
例えば
接着歯学の代表的教科書
Adhesive Dentistry
Operative Dentistry
などでは
ラバーダムは基本操作
とされています。
補綴専門医は
世界基準の治療
を意識するため
可能な限りラバーダムを使用します。
まとめ
補綴専門医がラバーダムを重視する理由は
単に防湿ではなく
補綴治療の成功条件そのもの
だからです。
ラバーダムにより
・接着成功率向上
・マイクロリーケージ防止
・マージン管理
・咬合精度
・医療安全
が確保されます。
つまり
長期安定する補綴治療を行うための基本操作
と言えます。
●「日本補綴歯科学会」とは
【日本補綴(ほてつ)歯科学会の目的】
【日本補綴(ほてつ)歯科学会の活動内容】
▷詳しくはこちら
【恵比寿の歯医者】補綴専門医による精密治療
SHIRON DENTAL OFFICE
●症例が、私たちの答えです
なぜこの治療を選んだのか
10年後をどう考えたのか
その「理由」まで公開しています。
これらの症例と同じような悩みはありませんか?
●院長からのメッセージ
治療のゴールは「治すこと」
ではありません
10年後も
20年後も
しっかり噛めること
やり直しを繰り返す歯科治療から
卒業していただきたい
その思いから私は
補綴(ほてつ)治療を専門に選びました
【恵比寿で補綴専門医の歯医者をお探しなら】
SHIRON DENTAL OFFICE
●ご相談・ご予約について
セカンドオピニオン歓迎
・抜歯と言われた
・インプラントしかないと言われた
・高額治療で迷っている
「もっと早く相談すればよかった」
多くの患者さまからいただく言葉です。
SHIRON DENTAL OFFICEには
恵比寿、目黒、代官山など近隣にお住まいの方から
山梨県や神奈川県、千葉県、埼玉県など日本国内だけでなく
アメリカ・フランス・中国など海外在住の方が帰国された際に
毎回治療を希望され来院される方がいます。
補綴専門医として
機能・審美・長期安定を重視した治療を行っています。
まずはご相談だけでも構いません。
患者さまにとって最善の選択を一緒に考えます。
恵比寿駅から徒歩6分の歯医者
SHIRON DENTAL OFFICE
渋谷区恵比寿の歯科医院
〒150-0022
東京都渋谷区恵比寿南2-9-4 安島ビルⅡ 2F
TEL:03-6303-2700
Information
-
-
- 当院で現在、特に推し進めている情報
- ⭐歯科に関する当院からの最新のエビデンスに基づいた情報を「コラム」と「Q&A」に記載しております。
お気軽にお読みいただければ幸いです。 - ⭐当院では、精度の高い診断とより確実な治療を行うために、【CT】, 【エルビウムヤグレーザー】、【マイクロスコープ】を用いております。
-
エルビウムヤグレーザーを用いた歯石除去の動画
エルビウムヤグレーザーを用いたう蝕象牙質除去の動画
-
■ 恵比寿でセラミック治療を
ご検討の方へ― 補綴専門医による
「やり直さないための治療」 ―
Before
After
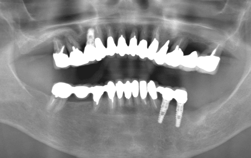
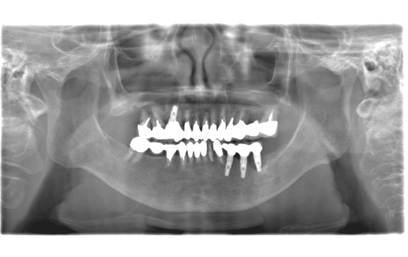
主訴 左上のセラミックの歯の歯ぐきが下がって変色した歯が出てきて見た目が気になるのでやり直したい。 性別 女性 年齢 50代 症例概要・補綴専門医としての分析 ・50代女性
・左上5番にオールセラミッククラウンが装着されている。
左上4番にはインプラントによるオールセラミッククラウンが装着されている。
頬側の歯肉退縮が生じており歯頸部に黒変した歯質が露出して審美障害を生じている。
全体的な辺縁不適合が認められた。
セラミック咬合面には若干の咬耗が認められた。
左上5番頬側歯肉辺縁に発赤・腫脹は認められない。
エックス線から歯根に問題は認められなかった。
患者さんには、過度にブラッシングする習慣があり、ブラッシング圧とブラッシング時間のコントロールを指導した。
また、クレンチングの習癖があり、生活指導及びナイトガードの夜間使用をお願いしている。
これらのご指導・お願いが実施されることを前提に、咬合力の強くない女性であること、審美性を重視していることなどからモノリシックジルコニアクラウンではないジルコニアフレームにポーセレンを積層する方法、ジルコボンドクラウンにて再補綴することとした。
【ジルコボンドクラウン】
強度の高いジルコニアフレームに、見た目の美しいセラミック(ポーセレン)を焼き付けた2層構造の被せ物
「ジルコニアセラミック」「レイヤードジルコニア」とも呼ばれます。
辺縁歯肉の退縮の原因は、歯ブラシによる力の影響とクレンチングによる影響と考えられる。
歯周基本治療を行いながら左上5番に装着されているオールセラミッククラウンを除去した。
装着されているレジン築造に不適合が認められたため、形態修正後再度レジン築造を行った。
支台歯形成後、プロビジョナルレストレーションを製作、仮着して辺縁歯肉の反応等を次回来院時まで経過観察した。
辺縁歯肉の状態は安定しているので、
形態的・色調的問題を患者さんに確認、同意が得られたため最終補綴へ移行した。
印象採得、咬合採得を行い補綴物を製作した。
完成したオールセラミッククラウンの近遠心コンタクトの調整を行い、その後咬合チェックして咬合調整・研磨を行った。
ジルコボンドクラウンを試適して患者さんに鏡で見て頂き問題がないことを確認後、合着を行った。合着1週間後に各種チェックを行い若干の調整、研磨を行った。治療期間・回数 治療期間4週間で3回来院。 術前(2026年2月)術後(2026年3月) 費用
(自由診療となります)総額 自由診療154000円(税込み) 診査・診断・プロビジョナルレストレーション・術前術後の説明費用含む。 リスク・副作用 セラミックの破折、脱離。歯肉の退縮。根の病気。
術後の対策 補綴専門医の視点 今後、辺縁歯肉の退縮を避けるための方策を検討し患者さんと対応を共有することとした。
必ず3か月ごとの予後観察に来院していただくよう依頼した。
ご本人はブラッシングをかなり徹底して行うタイプでした。
そのため、過度なブラッシングによる影響を避けるため、力のコントロールを常に意識して行い、長時間ブラッシングしないように指導して定期健診で来院のたびにチェックを行うようにした。
食いしばりの習癖があるため、日中は常に食いしばりの気付きに意識を払って、食いしばったら即座にリリースするように指導を行った。
また、夜間はナイトガードを装着して対応するように指導した。
今後、力のコントロールを行っていても長期間経過して再度歯肉退縮が起こった場合、被せ物を作り直すのではなく、歯茎を上に延ばす歯周外科手術を検討する必要の可能性を説明した。セラミック治療をすでに
検討されている方へ
セラミック治療は
「どの素材を選ぶか」よりも
「誰がどう設計するか」で
結果が大きく変わります。
同じセラミックでも
・数年でやり直しになるケース
・10年以上安定するケース
その違いは
素材ではなく
「設計と精度」にあります。
したがって、
👉 どこで治療するかによって結果は大きく変わります
■ セラミックは「材料」でしかありません
■ 本当に重要なのは「設計」です
セラミックは非常に優れた材料です
✔ 劣化しにくい
✔ 汚れが付きにくい
✔ 精密な適合が可能
✔ 金属を使わない
しかし
👉 材料だけで結果は決まりません
セラミック治療の成否は
見えない部分で決まります。
具体的には、
・噛み合わせ
・歯の削り方
・接着操作
・技工精度
これらが不十分な場合
・脱離
・破折
・二次う蝕
・やり直し
につながります。
その原因の多くは
👉 設計の問題です
■補綴専門医としての視点
当院では、院長が
大学のクラウン・ブリッジ補綴学講座
(セラミックなどの被せ物治療を専門
とする分野)において
35年以上にわたり補綴(ほてつ)治療に携わって
きた経験をもとに、
10年後を見据えた設計を行っています
■ 当院のセラミック治療の特徴
当院では
👉 「10年後から逆算した設計」を行います
① 補綴専門医による咬合設計
(力のコントロール)
・どこに力がかかるのか
・どこが壊れやすいのか
👉 これを分析し
壊れない設計を行います
■ ② 精密な形成・印象
・削る量を最小限に
・適合精度を最大限に
👉 ミクロン単位で合わせます
■ ③ 高精度な技工連携
・適合
・形態
・接触
👉 すべてが予後に直結します
優秀な技工士との密接な連携により
機能と審美の両立を図ります。
■ ④接着操作の徹底
セラミックは接着が生命線です。
当院では必要に応じて
ラバーダム防湿を行い
・唾液
・血液
・湿度
の影響を排除し
接着の再現性を高めています。
👉見えない工程の精度が、治療結果を左右します。
■ 「設計 × 精度 × 素材」
この3つが揃って初めて
👉 セラミックは長持ちします
■ セラミックは“魔法の治療”ではありません
セラミックは
👉 虫歯のリスクを下げる材料ですが
👉 虫歯を防ぐものではありません
■ 長持ちするかどうかは
ここで決まります
どれだけ精密な治療を
行っても
👉👉 その後の状態は
患者さん自身のケアで
決まります
・プラークコントロール
・食生活
・メインテナンス
これが不十分であれば
👉 再び虫歯になります
■ セラミックを
長持ちさせるために
当院では
・定期的なメインテナンス
・咬合のチェック
・リスク評価
を行い
👉 長期安定を維持します■ メインテナンス・プラークコントロール
■ セラミック治療を受けた後に最も大切なこと
セラミック治療は
ゴールではありません。
👉 長く使い続けるためのスタートです
どれだけ精密に治療を行っても
その後の状態は
👉 日々のケアとメインテナンスで決まります
■ セラミックを入れても虫歯は防げません
セラミックは
・劣化しにくい
・汚れが付きにくい
・適合精度が高い
という特性があります。
そのため
👉 虫歯の再発リスクを下げることはできます
しかし
👉 虫歯を完全に防ぐことはできません
■ 再発を左右する本当の原因
虫歯や歯周病の再発は
👉 プラーク(細菌のかたまり)
によって起こります。
つまり
どれだけ良い治療をしても
👉 プラークが残れば再発します
■ 補綴専門医としての考え方
補綴治療は
👉 「壊れない治療」ではなく
「壊れにくい状態を作る治療」です
当院では
・咬合設計
・適合精度
・接着操作
により再発リスクを最小限に抑えます。
しかし
👉 その状態を維持できるかどうかは
日々の管理にかかっています
■ なぜメインテナンスが必要なのか
プラークは
・どんなに丁寧に磨いても
👉 完全に取り切ることはできません
また
・時間の経過とともに
👉 必ず再付着します
そのため
👉 定期的なプロフェッショナルケアが
必要になります
■ メインテナンスで行うこと
当院では単なるクリーニングではなく
👉 「再発を防ぐための管理」
を行います
具体的には
・プラーク・歯石除去
・適合状態のチェック
・咬合の確認
・ブラッシング指導
・リスク評価
■ セラミックを長持ちさせるために
セラミックの寿命は
👉 素材ではなく管理で決まります
同じ治療でも
・長持ちする方
・早期に再治療になる方
に分かれます
その違いは
👉 メインテナンスとセルフケアの差です■ 当院が大切にしていること
当院では
・治療の精度
・その後の管理
この両方を重視しています
👉 治療だけで終わる歯科ではなく
長く守る歯科でありたい
と考えています
■ このような方へ
・治療を繰り返したくない
・セラミックを長持ちさせたい
・自分の歯をできるだけ残したい
・しっかり管理していきたい
■ 患者様へ(最重要メッセージ)
👉どんなに良い治療でも
メインテナンスがなければ長持ちはしません
逆に
👉適切な管理ができれば
歯は長く守ることができます
■ ご相談について
メインテナンスやケアについても
お気軽にご相談ください
【初診相談はこちら】
【予防・メインテナンスの相談はこちらから】
■ こんな方におすすめです
✔ 何度もやり直している
✔ これを最後の治療にしたい
✔ 見た目だけでなく長持ちさ
せたい
✔ 咬み合わせまでしっかり診
てほしい
〇セラミックって何?
▷詳しくはこちらセラミックって何?
簡単に言うと、
白くて、硬くて、変色しにくい、人工の歯の材料です。
お茶碗やマグカップもセラミックの一種ですが、
歯科で使うものは 医療用に強化された特別なセラミックです。
なぜ歯科で使われるの?
理由は3つあります。
① 見た目が自然
セラミックは光を透かす性質があり、
天然の歯にとてもよく似ています。
金属のように黒くなったり、
歯ぐきが暗く見えたりすることがありません。
② 変色しにくい
プラスチック(レジン)は時間が経つと黄ばんだり
着色しやすい傾向がありますが、
セラミックはコーヒー・紅茶やワインでもほとんど色が変わりません。
長期間、白さを保ちやすい素材です。
③ 汚れが付きにくい
表面がとても滑沢なので、
プラーク(歯垢)が付きにくい特徴があります。
そのため、むし歯や歯周病のリスクを下げる効果も期待できます。
★セラミックの種類
歯科でよく使われる代表的なものは以下です。
■ ジルコニア
とても硬く、強度が高い素材です。
奥歯など強い力がかかる部分に向いています。
■ e.max(イーマックス)ポーセレン
ガラス系セラミックで、透明感が高く、
前歯の審美治療に向いています。
☞それぞれ適応が異なるため、歯の状態や噛み合わせによって選びます。
セラミック=絶対に割れない?
いいえ。
天然歯と同じように、
強い衝撃や噛み合わせのバランスが悪いと割れることがあります。
実はここがとても重要です。
セラミックは「材料」ですが、
長持ちするかどうかは 設計と噛み合わせ に大きく左右されます。
【セラミックと銀歯の違い】 〇見た目
セラミック 自然な白さ
銀歯 金属色変色
〇変色
セラミック ほぼなし
銀歯 金属が溶け出すことあり
〇金属アレルギー
セラミック なし
銀歯 起こる可能性あり汚れ
〇汚れ
セラミック 付きにくい
銀歯 比較的付きやすい
★どんな人に向いている?
☞ 銀歯を白くしたい
☞前歯を自然に治したい
☞ 長く使える素材を選びたい
☞ 金属アレルギーが心配
●まとめ
セラミックは
「見た目が自然で、変色しにくく、汚れが付きにくい白い材料」です。
ただし、
本当に大切なのは「素材」だけでなく、
☞ 噛み合わせ
☞ 力のかかり方
☞ 歯全体とのバランス
です。
材料と設計の両方が整って、はじめて長持ちします。〇「コンポジットレジンとセラミックについて」
▷続きはこちらから▷「セラミック修復と比較したメタル修復の
問題点」Q&Aはこちらから▷「セラミック修復と比較した
ハイブリッドレジンインレー・クラウンの
問題点」Q&Aはこちらから〇ジルコニアの研磨について解説いたします
▷続きはこちらから〇セラミックについて詳しく深掘りします
▷詳しくはこちらセラミックスは、現在では金属以外の無機質固体材料の総称になっています。
固体には原子や単位構造が規則正しい配列をしているものと不規則な配列をしているものがあります。
前者を結晶、後者をガラスと呼びます。
歯科用セラミックスの代表はポーセレン (陶材)で、
これは本来ガラス(磁器)です。
ポーセレンは歯科審美修復には最高の材料でしたが、
脆性で破壊しやすいため、金属フレームへポーセレンを焼付ける
陶材焼付金属冠が審美と強度を兼ね備えた装置として用いられてきました。
しかし、さらに審美性に優れたオールセラミックスへ移行するため、
弱点であった強度を改良した優れた歯科用セラミックスの開発
が進められてきました。
その流れは、ガラスから結晶質材料への流れです。
2000年になってジルコニアが登場し、透光性の改良とともに
フレーム材料からモノリシック材料まで幅広く利用されるようになりました。
近年、 CAD/CAMとネットワークの発達により、
アルミナやジルコニアの高密度多結晶焼結体を始め、
セラミック材料に対してCAD/CAMの適用が
広く普及してきております。
ジルコニアが登場により、オールセラミック修復が
臼歯部クラウン・ブリッジやインプラント上部構造まで
適用できるようになり、新しい時代の幕開けとなりました。
このジルコニアの登場で、固定式補綴装置作製の世界が
一変したと言っても過言ではありません。
従来型ジルコニアでは傷の先端(正方晶)に応力が集中すると
本来室温で安定な単斜晶に戻りつつ膨張することにより
傷を閉じ込め亀裂の進展を防止します。
これにより、従来のセラッミックの常識では考えられない
非常に高い曲げ強さと破壊靭性を有しています。
この材料は透光性が低いので咬合面への適用は難しく、
当初オールセラミックブリッジのフレームワークに適用されました。
しかし、前装のポーセレン焼成作業が煩雑であることや、
ポーセレンのチッピングが生じたため、
臨床現場からは透光性を改善してモノリシック用途に
堪えられる材料の出現が待たれました。
従来型ジルコニアは強度を高めるために、
イットリアに加えて極微量のアルミナを含んでいました。
これが結晶粒界で光を散乱して透光性を低下させるので、
不純物量を極力少なくして透光性を改善した
正方晶ジルコニアが利用されました。
これを透光性ジルコニアと呼び、審美の要求があまり強くない
臼歯部クラウンへのモノリシック用途で使用されました。
しかし、ポーセレンやガラスセラミックに比べると
透光性が劣り、審美領域への適用は困難でした。
そのため、イットリア配合量を増やし
透光性の高い立方晶を混在させたジルコニアが開発されました。
イットリアのモル数を増やした高透光性ジルコニア材料は
透光性がポーセレンに近づいたので
超高透光性ジルコニアと呼ばれます。
しかし、立方晶の析出は正方晶と異なり
強度向上にはつながらないので、強度は、超高透光性ジルコニアでは
従来型ジルコニアの半分程度まで低下しました。
従って、高透光性ジルコニアは臼歯部のモノリシック、
超高透光性ジルコニアは前歯部のモノリシックに
適用が可能と考えられております。
一方、従来型から超高透光性ジルコニアまで、
硬さはいずれもエナメル質の3-4倍と大きいので
対合歯の磨耗が懸念されます。
これについては、ジルコニアの表面を高度に研磨すれば、
対合歯に対しても影響しないことが基礎研究のデータで
明らかにされています。
しかし、口腔内で硬さが大きいジルコニア修復の咬合面を
鏡面研磨することは容易ではなく、
今後、臨床経過を注意深く検討する必要があります。
〇モノリシックジルコニアって何?
▷詳しくはこちらモノリシックジルコニアの「変遷」と
「現在の審美性向上」について

左が従来型ジルコニア 右が高透過ジルコニア
🦷 モノリシックジルコニアってなに?
「ジルコニア」とは、とても硬くて強いセラミックの仲間。
「モノリシック」とは、「一塊」「全部同じ素材」という意味。
➡ つまり、全部がジルコニアだけでできた
かぶせ物・差し歯のことを
「モノリシックジルコニア」と呼びます。
🌟 どんないいところがあるの?
とにかく強い!
従来のセラミックより割れにくい。
奥歯のように強い力がかかる場所にも安心して使える。
金属を使わない
銀歯みたいに金属アレルギーの心配がない。
歯肉の境目およびその周辺が黒くなったりもしない。
見た目がきれい
昔のジルコニアは「白すぎて不自然」だったけど、
最近のものは自然な透明感や色合いも改良されている。
📈 最新の進化ポイント(2020年代~)
透明感アップ
新しい「多層ジルコニア(マルチレイヤー)」が登場。
表面に近い部分は透明感があり、奥の部分は強度重視。
自然なグラデーションで、前歯にも使いやすくなった。
削る機械の精度が進化
デジタルCAD/CAMで設計・製作。
歯にぴったり合う精度が向上し、長持ちしやすくなった。
耐久性の実績が出てきた
モノリシックジルコニアはすでに10年以上の使用実績がある。
「欠けにくくて長持ちする」という研究報告が多い。
⚖️ デメリットもあるよ
硬すぎる問題
→ 自分の歯やかみ合う人工の歯を削ることがある。
(ただし、最近はやや柔らかめのジルコニアも登場している)
見た目の自然さは陶材焼付セラミックに劣る。
→ 前歯で「芸能人のような自然さ」を求める人は、
別のセラミックのほうが向いている場合も。
調整・修理が難しい
→ 割れにくいけど、もし欠けると簡単には修理できない。
💰 費用について
保険はきかないため、自費診療になる。
1本5万~20万円程度が相場
(歯科医院や地域で大きな差があり)。
✅ まとめ
モノリシックジルコニア=全部ジルコニアで作った、
とても強い白いかぶせ物。
最新のものは透明感や自然さが改善され、
奥歯だけでなく前歯にも使いやすくなってきた。
「とにかく割れにくくて長持ち」な治療を希望する方におすすめ。
ただし、見た目の自然さ最優先なら
他のセラミックも検討したほうがよい。
それではさらに深掘りしていきます。
1) そもそもモノリシックジルコニアとは?
モノリシックジルコニアは「表面に陶材を焼き付けない、
塊(ワンピース)のジルコニアで作る
補綴物(全体がジルコニア)」を指します。
従来のジルコニアは
《強度重視で不透明→内側に金属や陶材を重ねる》設計が
多かったのに対し、モノリシックはフルカバレッジで割れにくく、
特に咬合力の高い部位に強みがあります。
2) 変遷(年表的に簡単に)
初期(主に3Y-TZP):3mol%イットリア安定化ジルコニア(3Y-TZP)は
高強度・高破壊靭性であったが、光を通しにくく不透明だった。
これが審美的に弱い理由でした。
透明化の方向(Yttriaの増加):透過性を上げるために
イットリア含有量を上げ(4Y, 5Y)たり、
結晶相(立方相:cubic)の比率を増やすなどの
材料設計が進みました。
これにより 4Y-PSZ / 5Y-PSZ と呼ばれる
より天然の色調に近い高透過ジルコニア”が登場。
多層(マルチレイヤー)/強度グラデーション:ブロック自体を
頬側(body)で強度重視、切端(incisal)で高透過にする
多層(multilayer)や、層ごとに組成を変える
強度-透過性グラデーションが普及し、
審美性と強度のバランスを取る設計が可能になった。
3) 審美性がどう向上したか(何が変わったか)
立方相(cubic)を増やすことで散乱が減り透明性が上がる
:立方晶は光を散乱しにくく、色調や透光性が天然歯に近づきます。
ただし立方相が増えると変態靭性(toughening)が弱くなり、
強度や耐破壊性が下がる傾向があります。
つまり 透ける=強度が下がる というトレードオフが基本です。
微細構造・不純物(アルミナなど)の最適化
:アルミナ量を減らす、粒径を制御する、
焼結プロセス(温度・時間)を改良することで
透明性と表面品質が改善されています。
マルチレイヤーブロックと色階勾配
:ブロック内で色・透明度を段階的に変えることで
単色材のべたっとした見た目を避け、天然歯のような
切端の透過感や色調変化を再現できます。
4) 強度(臨床上の耐久性)はどうか?
一般傾向:3Y-TZP(強度最優先) >
4Y-PSZ ≈ 3Y(疲労特性は近い場合がある) >
5Y-PSZ(最も透過するが相対的に強度・靭性は低い)。
ただし「臨床で使えるか」は
設計(厚み、支台形、咬合、咬合力)と
接着・ポリッシングによって大きく左右されます。
臨床成績:モノリシックジルコニアの短中期(5年程度)
の生存率は高く、90%台前半〜96%程度とするレビュー・臨床報告
が多数あります(部位や支台歯/インプラントの違いで多少差あり)。
長期(10年)データも徐々に蓄積されており、
後発の研究でも良好な成績が報告されています。 -
5) 製造・加工(CAD/CAM・焼成)と最近の話題
高速(スピード)シンタリング:臨床現場で時間短縮を狙って
高温短時間で焼結するスピード/ハイスピードシンタリングが普及。
研究は結論が分かれており、材料・銘柄によっては
光学特性(透過性)や機械的特性にほとんど影響がないものもあれば、
わずかな変化を示すものもあります。
製造指示(メーカー推奨)に従うことが重要です。
仕上げ(研磨・グレーズ)
:モノリシックはポリッシングで十分な光沢を出せます。
グレーズは一時的な艶出しに有効だが、対合歯に与える摩耗性や
長期の表面安定性を考慮して使い分ける必要があります。
6) 臨床での使い分けの考え方
咬合力の強い奥歯である臼歯部(ブリッジ含む):
耐欠損性・耐破壊性を重視して
3Y-TZP(もしくは3Yベースの強度重視ブロック)を選ぶ場合が多い。
前歯・高審美が要求される単冠
:透過性を優先して 4Y/5Yやマルチレイヤー を選ぶ。
ただし咬合条件や咬合圧が強い場合は注意が必要。
グラデーション(強度-透過性混在)ブロック
:臨床実用性が高く、前歯における見た目と
強度のバランスをとるのに有効。
7) 注意点(リスク/寿命に関わる要素)
トレードオフ(透過性 vs 強度) を理解して選ぶこと。
設計の厚み、咬合調整、接着法 が成績に影響。
特に薄く割って使うと強度不足になる可能性。
低温劣化(LTD)
:湿潤下での相変化による劣化は材料によって起きやすさが違うが、
現代材料・製造は改善されています。
メーカーの取扱説明・研究データを確認してください。
8) まとめ
1.過去10〜15年でジルコニアは「不透明で強い材料」から
「高透過で審美的なモノリシック材料」へと大きく進化しました。
2. 透過性を上げた(4Y/5Y)材料は審美性が向上した一方で、
材料的には強度や靭性が低下する傾向があるため、
症例に応じた材料選択が重要です。
3.臨床成績は全体として良好で、特に設計・接着・仕上げを
適切に行えば長期的にも信頼できる選択肢になっています。●シロンのラミネートベニアとは
Before
After
渋谷区恵比寿の歯科医院「SHIRON DENTAL OFFICE(シロンデンタルオフィス)」では、補綴専門医による精密な審美治療を行っております。 上記の症例のように1本だけでもラミネートべニア修復は可能です。
治療内容 ・上顎左側中切歯を無形成で一切削らずにポーセレンラミ ネートべニアで修復
・上顎右側中切歯をオールセラミッククラウンで修復して上顎前歯部の審美的および機能的改善を行ったケース
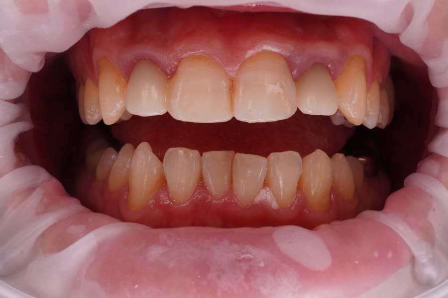
患者さんの訴え:上の前歯の隙間が気になる。
上の前歯の左右での色の差が気になる。
右上のセラミックの被せ物の歯茎の際の部分の茶色いラインが気になる。
上顎中切歯正中離開と左側1、2番間に歯間離開があり、左側中切歯の舌側転移による1,1間の位置異常があり、上顎左右中切歯の色調不良、上顎左側中切歯オールセラミッククラウンの唇側マージン部適合不良が認められた。以上の改善を図るため、検討を行った。
患者さんは矯正を希望されなかったため、補綴的に改善を計画した。
身長や顔面の長径と幅径から現在の中切歯よりやや幅広な形態とする方が審美的に良好な結果が得られると診断した。
上顎左側中切歯がやや舌側転移しており、それを利用して右側との唇側豊隆のバランスをとることができたため、左側上顎中切歯は無形成で一切歯を削ることなくポーセレンラミネートべニア修復する計画を立てた。
上顎右側中切歯のオールセラミッククラウンは、審美的に優れたジルコニアフレームにポーセレンを積層する方法で製作予定とした。
上顎右側中切歯オールセラミッククラウンを除去、支台歯形成後プロビジョナルレストレーション(仮歯)を調整試適し左側の豊隆に合わせながら唇側豊隆を整え切縁の形態とともに近遠心の幅を左右でバランスをとりながら形態を調整し隙間を閉鎖する形態を模索した。
ラミネートべニアとオールセラミッククラウンで色調を調和させるために、レジンセメントの色調を数種類トライアルし明度の高い最適なセメントで左右のセラミックの色調を調和できるようにした。
レジンセメントはパナピアV5、セメントカラーはブリーチを選択した。
上顎右側中切歯のオールセラミッククラウンを試適しコンタクトの確認と咬合調整して研磨を行った。
その際、ラミネートべニアと接触するコンタクト部分の調整を若干行い研磨した。
上顎左側中切歯のラミネートべニアを試適して適合に問題がないこと、右側との形態的色調的なバランスがとれていることを確認してからセメントの色調を決定するため数種類の色調の違うセメントの中から審美的に左右の最も調和がとれ明るさの高いセメントを選択し合着を行った。
合着後、咬合調整、形態修正、研磨を行った。
合着1週間後に各種チェックを行い若干の調整、研磨を行った。治療期間・回数 治療期間46日で4回来院。術前(2024年10月)術後(2024年11月) 費用
(自由診療となります)総額 308000円(税込み) 診査・診断・術前術後の説明費用含む。 リスク・副作用 セラミックの破折、脱離。上顎左側中切歯の知覚過敏反応。歯肉の退縮。 ラミネートべニア修復とは、
歯の表側を中心にコンマ何ミリという非常に薄いセラミック(場合によりハイブリッドレジン)の板(シェル)を強力な接着剤を用いて貼りつけ、見た目を改善する治療法です。
🌿 どのような場合にしますか?
・歯の色が暗く気になって口が開けられない
・口を開けて写真が取れない
・歯の表面の詰め物の色が変わって何回も治療している
・歯と歯のすき間が気になる
・歯の形を周りの歯と調和させたい
・矯正や全部被せないで歯並びを少しきれいに整えたい
こんなお悩みに向いています
🦷 その特徴は?
・歯をほとんど削らないか全く削らない
・自然なきれいな白さと美しい透明感が得られる
・歯ぐきにやさしく生体親和性が他の材料に比べ高い
・着色に強く何年たっても色がほとんど変わらない
・耐摩耗性が高く表面が減っていくことが極めて少ない
・金属を使わないのでアレルギーの心配がない
⏳ どのくらいもつのでしょうか?
10~20年以上もつことが期待される治療法です。
しっかりとケアすれば長期間美しい状態を保てます。
術後、歯や歯周組織の問題として、虫歯になったり
歯ぐきが下がってくるリスクがあります。
💡 まとめ
セラミック系ラミネートベニアは、
「歯をあまり削らずもしくは全く削らずに、自然で美しい口元に整える方法」
です。
恵比寿でラミネートベニア治療をお考えの方へ
当院では補綴専門医が、現在の接着技術と咬合設計を重視した審美治療を行っています。
ラミネートベニアは、日本に導入された初期から大学で研究と臨床に関わってきた分野でもあります。
その経験をもとに、ジルコニアやポーセレン、接着性レジンセメントなど現在の材料と技術を駆使した治療を行っています。
ラミネートベニアにご興味がございましたら、恵比寿にあるSHIRON DENTAL OFFICE までお気軽にご相談ください。ラミネートベニアは、歯の見える範囲を中心に
表面に薄いポーセレンやジルコニアのセラミックや
ハイブリッドレジン製のシェル(薄片)を接着性レジンセメントで
貼り付ける審美修復治療です。
歯をあまり削らずもしくは全く削らずに、
色調・形態・すき間・軽度の歯並びまで改善できる、
低侵襲で高い審美性と機能性を実現できる
現代の優れた審美修復法の1つです。
■ どのような歯に適応できますか?
主に上下12本の前歯に適応されます。
場合によっては、前から4・5番目の小臼歯でも使用可能です。
■ 改善できるお悩みは?
・歯の変色(テトラサイクリン歯など強度の変色含む)
・歯の形態異常(矮小歯など)
・すき間(空隙歯列)
・CR修復済みの変色
・表面の範囲の広い軽度の虫歯
・軽度の歯並び改善
・欠けたり減ったりした場合
■ ホワイトニングとの違いは?
・ホワイトニングは「色」の改善が中心ですが、
・色調のコントロールは基本的にはできません。
・ラミネートベニアは色調・形態・すき間を同時に改善でき、
・色調コントロールもホワイトニングより優れています。
■ 被せ物(クラウン)との違いは?
・歯をたくさん削らない。
・エナメル質限局の修復法のため
・表層のエナメル質の切削は最小限に抑えられる。
・部分被覆冠に分類される。
・歯への侵襲を最小限に抑えながら
高い審美性と安定性を実現します。
■ ダイレクトボンディングとの違い
・ダイレクトボンディングは直接コンポジットレジンを詰める「直接法」。
・ラミネートベニアはラボで製作した薄層のセラミックシェル
もしくはハイブリッドレジンシェルを装着する「間接法」。
・ダイレクトボンディングに使用する材料は、
口腔内で変形等の生じる不安定なコンポジットレジン。
・ラミネートべニアは口腔内でも汚染されにくく
変形しにくい長期安定した材料特性を持つ。
■ 厚みは?
約0.1~1.0mm程度の非常に薄い構造です。
切削量や厚みの設定によっては、
唇面が過豊隆になる可能性があります。
■ 外れやすいですか?
エナメル質への接着は非常に強固です。
適切な設計と接着操作を前提に、極めて外れにくい治療法です。
■ 治療中痛みはありますか?
削除量がエナメル質限局のため、痛みはほとんどありません。
多くの場合で麻酔は必要ありません。
痛む場合は、削り過ぎの可能性があるので要注意です。
■ 神経のある歯にも適応可能でしょうか?
基本的には神経のある歯が対象となります。
生活歯(神経のある歯)以外でも
ご自分の歯の残り具合によっては適応可能です。
■ 適応可能なケースは?
・軽度~重度の歯の内部変色(テトラサイクリン歯等含む)
・空隙歯列
・軽度の歯列不正
・軽度(エナメル質限局)で広範囲な虫歯
・歯周病のコントロールが十分行われている場合
■ 注意が必要もしくは不適応なケースは?
・重度の歯列不正(矯正が必要)
・エナメル質の残存が少ない歯
・ブラキシズム等の悪習癖
・カリエスリスクが高い場合
・成長期(18歳未満)の方
■ 神経のない歯
根管治療が十分なされている場合及び
残存健康歯質の残存量により適応が決まります。
■ 妊娠中
基本的に可能ですが、安定期が望まれ、
時期により慎重な判断が必要です。
■ 主な使用材料
・ガラスセラミック(e.max などポーセレン)
・ジルコニアセラミック
・ハイブリッドレジン
近年はジルコニアの発展により適応範囲が広がっています。
■ 色調
現在は豊富なシェードから選択可能で、天然歯に限りなく近い
透明感が得られます。
接着剤の色調を巧みに利用して色調を完成させます。
■ 光沢
セラミックの場合、光沢は半永久的に維持されます。
■ 接着方法
接着性レジンセメントを使用します。
裏面にはサンドブラスト処理および
セラミックプライマーの使用が必須となります。
ラバーダム防湿が必要となります。
乾燥状態で最大の接着力を発揮します。
接着操作は他の修復物と比べ非常にナーバスで時間がかかります。
■ 金属は使用しますか?
・一切使用しません。
・金属アレルギーの方でも大丈夫です。
【治療の流れ】
1 カウンセリング
ご本人の色調や形態不良に対するコンプレックスの度合いを
十分に聞き取りする。
色調・形態・本数・仕上がりのイメージを患者さんと共有して決定。
2 診査・診断
写真撮影、ワックスアップによる診断・設計
3 歯の形成(必要に応じて)
エナメル質限局の必要最小限のエナメル質削除
4 型取り
・シリコーン印象材
・口腔内スキャナー
5 技工所製作(約5日~2週間)
6 試適・装着
1 仮歯除去
2 清掃
3 試適
4 色調確認
5 接着
6 咬合調整
7 セメントラインの形態修正・研磨
8 患者さんに見て頂き最終チェック
■ 治療回数
通常1~3回
■ 所要時間
1回あたり60~90分(本数により差があり)
■ 装着後の注意
接着後60分程度飲食を控えることが推奨されます。
■ 寿命は?
平均10~20年以上
適切な管理で20年以上維持する場合も多いです。
■ 割れる原因は?
・強い咬合力
・外傷
・歯ぎしり
・2次う蝕
■ 色の変化
セラミック自体は変色いたしません。
■ むし歯リスク
ベニア周囲の天然歯は、むし歯になるリスクがあります。
■ 修理
小さな欠けは、コンポジットレジン修復で
対応可能な場合あります。欠けた原因の分析は必要です。
大きな破折は原因を分析し設計再検討後、再製作もしくは
修復物の種類の変更が必要です。
■メンテナンス
通常のブラッシングで問題ありません
フロス・歯間ブラシの使用を推奨します
3~6か月ごとの口腔内チェック及び定期クリーニングを推奨します
歯ぎしりが強い場合はナイトガードを推奨します
硬い物の過度な摂取は避けるようにします
セラミックはホワイトニングでは白くなりません
■費用
・1歯あたり:約5万円~20万円程度(各医院で価格差あり)
・自由診療(保険適用外)・医院により保証制度あり(1~5年など)
・デンタルローン対応の場合あり
・1本から治療可能
前歯6本同時修復が自然な仕上がりになりやすい
■特殊ケース・その他
永久的ではないが長期安定
完全に元の歯へ戻すことは不可
海外(アメリカ・ヨーロッパ・韓国)で広く普及
スポーツ時はマウスガードを推奨します
■総合的なメリット
☞歯をあまり削らないのでMIの方針と合致する
☞ 高い審美性と透明感が得られる
☞色調・形態・すき間を同時に改善できる
☞ 金属を不使用でアレルギーの心配がなく生体親和性が高い
ラミネートベニアは、機能性と審美性を両立させた高度な補綴治療です。
医院情報
SHIRON DENTAL OFFICE(シロンデンタルオフィス)
〒150-0022 東京都渋谷区恵比寿南2-9-4 安島ビルⅡ 2F
TEL:03-6303-2700
補綴専門医による精密審美治療を提供しております。
初診相談WEB予約も可能です。ラミネートべニア修復とは、
歯の表側を中心にコンマ何ミリという非常に薄いセラミック(場合によりハイブリッドレジン)の板(シェル)を強力な接着剤を用いて貼りつけ、見た目を改善する治療法です。
どのような場合にしますか?
・歯の色が暗く気になって口が開けられない
・口を開けて写真が取れない
・歯の表面の詰め物の色が変わって何回も治療している
・歯と歯のすき間が気になる
・歯の形を周りの歯と調和させたい
・矯正や全部被せないで歯並びを少しきれいに整えたい
こんなお悩みに向いています
その特徴は?
・歯をほとんど削らないか全く削らない
・自然なきれいな白さと美しい透明感が得られる
・歯ぐきにやさしく生体親和性が他の材料に比べ高い
・着色に強く何年たっても色がほとんど変わらない
・耐摩耗性が高く表面が減っていくことが極めて少ない
・金属を使わないのでアレルギーの心配がない
どのくらいもつのでしょうか?
10~20年以上もつことが期待される治療法です。
しっかりとケアすれば長期間美しい状態を保てます。
術後、歯や歯周組織の問題として、虫歯になったり
歯ぐきが下がってくるリスクがあります。
まとめ
セラミック系ラミネートベニアは、
「歯をあまり削らずもしくは全く削らずに、自然で美しい口元に整える方法」
です。
恵比寿でラミネートベニア治療をお考えの方へ
当院では補綴専門医が、現在の接着技術と咬合設計を重視した審美治療を行っています。
ラミネートベニアは、日本に導入された初期から大学で研究と臨床に関わってきた分野でもあります。
その経験をもとに、ジルコニアやポーセレン、接着性レジンセメントなど現在の材料と技術を駆使した治療を行っています。
ラミネートベニアにご興味がございましたら、恵比寿にあるSHIRON DENTAL OFFICE までお気軽にご相談ください。●SHIRON DENTAL OFFICEのホワイトニング
SHIRON DENTAL OFFICEのホワイトニングは、
ハイブリッドポリリンホワイトニングを導入しております。シロンのホワイトニング症例
Before
術前(2024年10月)
After
術後(2024年11月)〇治療内容
主訴:イベントまでに歯を出来るだけ自然な感じで白くしたい
過去にホワイトニングの経験あり。
その際、不快事項なし。
歯面清掃後、過酸化水素とポリリン酸を含んだ処理剤を歯面に塗布します。塗布した面にホワイトニング用照射器で光と熱を9分間照射、3回繰り返してホワイトングを行うことで白さの改善を行いました。計3日間処置を行い終了しました。
〇治療期間・回数
治療期間10日で3回来院。
〇費用(自由診療となります)
総額 39000円(税込み)
診査・診断・術前術後の説明費用含む。
〇リスク・副作用
知覚過敏反応、歯肉の灼熱感、歯の痛み、白さの改善不良、着色。分割ポリリン酸による「スーパーポリリンホワイトニング」に予防効果をプラスしたαパウダーによる「cap-システム」を併用した「ハイブリッドポリリンホワイトニング」です。
歯を白くすると同時に歯を強化することを目的とした体に優しいホワイトニングシステムです。
●ポリリンホワイトニングのみのご提供も致しております。
●約1か月以内に原則3回行うシステムです。
★ポリリンホワイトニング 16500円(消費税込み)1回の料金
★CAPシステム 7700円(消費税込み)▷ハイブリッドポリリンホワイトニングについて詳しくはこちらから
【公式】ハイブリッドポリリンホワイトニングについて
痛いホワイトニングを経験されていませんか?
医学的根拠に基づいたハイブリッドポリリンホワイトニングで患者様を助ける!

ポリリン酸は
• 人体にもある
天然成分
で身体に優しい
• 再生医療研究
から生まれた高品質
ホワイトニング成分
ポリリン酸は、
歯面の汚れを落とす・汚れがつかないようにする、
白さを増す・口腔内を清潔にして口腔環境を整える、
という要素を備えた新たなホワイトニング成分です。
これをお部屋の床掃除にたとえれば、
掃除機で汚れをとり・雑巾でピカピカに磨き、
ワックスで汚れがつかないようにケアし、
口腔内を殺菌して衛生状態を更によくする、
という作業を一度に行なっていると言えます。
「ハイブリッドポリリンホワイトニング」は
こんな方にオススメです

笑顔の印象を良くしたい

仕事やイベントなどの
人前で話す機会が多い

歯の色が
黄色くなった気がする

歯の汚れが気になる
(茶渋・ヤニなど)

若く、明るい印象に
なりたい

いつでも白い歯でいたい
好きな時に白くしたい
従来のホワイトニングと
ハイブリッドポリリンホワイトニングの違い
比較
従来のホワイトニング
ハイブリッドポリリンホワイトニング
白さ
薬液によって着色するので透明感のない白さになります。
プラチナナノコロイドの効果でキラキラ輝く自然な白さになります。
痛み
知覚過敏になることもあります。 痛みを感じやすい。
痛みを感じることは非常に少ないです。
色戻り
歯をコーティングしていないので施術直後は特に着色しやすいです。
ポリリン酸が歯をコーティングし汚れも付きづらくなり透明感のある白さが長持ちします。
保護力
ホワイトニング剤を歯の表面に塗り色素を分解します。歯にダメージが残ります。
ポリリンコーティングにより、歯を傷つけにくく、歯の表面もコーティングされ歯質が強化されます。
お食事
カレー・コーヒー・ワインなど施術直後は特に食事制限があります。
施術直後でもまったく食事制限は必要ありません。
施術時間
次回まで2〜3週間の期間が必要です。
1日何回でも大丈夫。
施術費用(1回)
高額
低価格
もう痛くない、まったく新しい
「ハイブリッドポリリンホワイトニング」
ポリリンホワイトニングは、あらゆる生物の体内にもともと存在している生体成分であるポリリン酸を使用した、安全で非常に高い効果が期待されるホワイトニング方法です。
歯にダメージを与えない施術方法と、ポリリン酸による幅広い効果効能は、ホワイトニング以外の分野でも歯科業界の注目を集めています。
国際特許(WO)で!ステインの付着を防ぎ、歯を健康に美しく
ハイブリッドポリリンホワイトニングとは、国際特許(WO)特許ポリリン酸という成分を使ったホワイトニングの施術方法です。
このポリリン酸は食品添加物としても認められている成分のため、その安全性も保証されています。
ハイブリッドポリリンホワイトニング、このポリリン酸を使って歯の汚れを落とし、更にステインや歯石の沈着防止をするため、痛みもなく、着色しにくく、透明感が残るのが特徴のホワイトニングです。
紅茶やコーヒー、タバコのやに等でくすんでしまった歯の表面には、ステインが付着しています。
ポリリン酸は歯面に付着したステインに近づくと、ステインを剥がしながら歯の表面をきれいにすると同時に、歯面に付着して歯が再び汚れてしまうことを防ぎます。


ポリリン酸Naの様々な効果
ポリリン酸とは、バクテリアからほ乳類まであらゆる生物の体内に存在する生体高分子です。
リン酸が鎖状に複数個結合し、その長さと濃度によってそれぞれ効果が異なります。

ポリリン酸Naを使った最新ホワイトニング

ホワイトニングに優れた効果を発揮する「ポリリン酸Na」は、
1. 歯の表面に付着したステイン(茶渋やたばこのヤニなど)に近づくと
2. 汚れを浮かせて剥がし
3. 表面をキレイにすると同時に
4. 歯の表面をコーティングすることにより歯質を強化・ステインの再付着を防止する働きをもちます
ハイブリッドポリリンホワイトニング施術の流れ
1.
Step1
歯の表面をクリーニングします
2.
Step2
ホワイトニング専用ジェルを歯に塗っていきます。食品にも使われている成分なので安心して使用出来ます
3.
Step3
ジェルを塗り終わると専用のライトで光を9分間当てます
4.
Step4
ジェルを塗りライトを当てるのを3回繰り返します
5.
Step5
ポリリンホワイトニングは他のホワイトニングと違い、終わった直後から普通に食べたり飲んだりしても白さに影響が有りません
●DOHaD(ドーハッド)と歯科
― 子どもの頃の環境が、一生の歯と健康をつくります ―

DOHaD(ドーハッド)とは?
(Developmental Origins of Health and Disease:健康と疾病の発生起源)
「母親のお腹の中にいる時から、
子どもの取り巻く環境が将来の健康に影響する」
という考え方です。
つまり
人生の健康の土台は、かなり早い段階でつくられるということです。
これは、歯やお口の健康にも深く関係しています。
歯はいつ頃から作られているの?
歯は生まれてから作られると思われがちですが、
実は妊娠中から作られ始めています。
・乳歯:妊娠 6〜7週頃から形成開始
・永久歯:胎児期〜幼児期に準備が始まる
つまり
妊娠中の環境が歯に影響するのです。
「最初の1000日(受胎〜生後2年)」が
口腔疾患予防の重要なカギであり、
この時期の介入
(母体栄養改善、授乳・離乳指導、
早期フッ化物・予防ケア)が
子どもの歯科リスクを低減するという
考え方が支持されています。DOHaDとは?
DOHaD(Developmental Origins of Health and Disease)とは
「胎児期から子どもの頃の環境」が
将来の健康に影響するという医学的概念です。
近年、この考え方は
歯科医療にも非常に重要と考えられています。
なぜなら
歯・顎・噛み合わせ・口腔細菌は
人生の早い段階で基礎が作られるからです。 歯は妊娠中から作られています。
多くの方が知らない事実ですが
歯の形成は胎児期から始まっています。
・乳歯
妊娠6〜7週頃から形成開始
・永久歯
胎児期〜幼児期に発育準備
つまり
妊娠中の環境が歯の質に影響します。
【妊娠中に重要な栄養】
不足すると歯の形成に影響する可能性があります。
特に重要な栄養素
・鉄
・葉酸
・ビタミンD
・カルシウム
これらは
歯・骨・免疫・発育に関係します。
【妊娠中の歯周病と全身への影響】
研究では(エビデンスあり)
妊娠中の歯周病は
・早産
・低出生体重児
との関連が報告されています。
そのため
妊娠中の歯科受診は重要です。
・赤ちゃん〜幼児期は顎が成長する時期
この時期は
歯並びが決まり始める重要な時期です。
〇よく噛んで食べる習慣は
・顎の発育
・呼吸
・歯並び
に影響します。
〇やわらかい食事ばかりの場合
顎の発育不足が起こることがあります。
その結果
・歯並びの乱れ
・噛む力の低下
・将来の口腔機能低下
につながる可能性があります。
指しゃぶり・口呼吸
長く続くと
・顎の成長
・顔貌
・歯並び
に影響することがあります。
☞乳歯の虫歯は将来の健康に影響します
乳歯の虫歯は
・永久歯の虫歯リスク
・口腔細菌のバランス
・歯並び
に影響します。
子どものお口の環境は将来の健康を左右します
近年の研究では
口腔マイクロバイオーム(細菌環境)は
幼少期に形成されると考えられています。
つまり
小児期の口腔管理が
将来の歯周病リスクに影響します。
★【将来起こりうる問題】
子どもの頃の環境は
・歯周病
・虫歯
・噛み合わせ異常
・顎関節症
・オーラルフレイル
・嚥下機能低下
・様々な全身疾患
・精神疾患
などに影響します。
⭐【歯科医院でできるサポート】
SHIRON DENTAL OFFICEの取り組み
当院では
・妊娠前の口腔ケアと栄養状態のサポート
・必要に応じた医科歯科連携
・妊婦歯科検診
・食生活のアドバイス
・子どもの口腔管理
・歯並びの早期チェックと評価
・予防歯科
を行っています。
⭐一番大切なメッセージ
子どもの頃のお口の環境が
一生の健康をつくります。
歯科は
未来の健康を守る医療です。〇妊娠前後の女性におけるビタミンB群不足が
全身及び口腔内へ及ぼす影響について解説します
▷続きはこちらから●『マイナス2歳』から考える予防歯科 はじめてみませんか?
――生まれてくるお子さまに贈る、一生続く健康の土台――
出典: マイナス2歳からの予防歯科 by 予防歯科栄養療法協会®
(Preventive Dentistry Starting Two Years Before Birth™)
一般社団法人 予防歯科栄養療法協会
リンク先 URL:https://nutrition.topaz.ne.jp/〇お母さんと赤ちゃんの歯を守るために
▷続きはこちらから〇妊娠前の栄養状態と赤ちゃんの歯の健康について
▷続きはこちらから〇女性と鉄欠乏の関係を詳しく解説
▷続きはこちらから〇お子様への大切なプレゼント
▷続きはこちらから気になることがあればお気軽にご相談ください。
SHIRON DENTAL OFFICE●SHIRON DENTAL OFFICEの
知覚過敏症への対応当院の知覚過敏治療の特徴
当院では知覚過敏の症状だけでなく
原因を評価することを重視しています。
知覚過敏の背景には
・歯肉退縮
・咬合力
・歯ぎしり
・ブラッシング習慣
などが関係していることがあります。
当院ではこれらを総合的に分析し、
歯の痛みの原因を多角的に診断しています。
【歯が原因による知覚過敏の主な治療方法】
1 知覚過敏抑制薬
象牙細管封鎖
2 レーザー治療
象牙細管封鎖による神経刺激抑制
3 イオン導入法
フッ素浸透
4 レジンコーティング
歯頸部保護
5 ナイトガード
咬合力対策
●歯が痛いのに虫歯がない場合
「歯が痛い=虫歯」
とは限りません。
そのため、歯以外に痛みの原因が考えられます。
歯が原因であれば、歯の治療を行います。
歯が原因でなければ、その原因究明を場合により
専門機関と連携して対応していきます。歯がしみる「知覚過敏」の原因と治療法について
冷たいものを飲んだときに
「キーン」としみる症状を
象牙質知覚過敏症
といいます。
歯の表面のエナメル質が薄くなり、歯ぐきが下がることで
象牙質という部分が露出すると起こります。
象牙質には非常に細い管(象牙細管)があり、
ここに刺激が伝わると歯の神経に伝わり、しみる症状が出てきます。
楔状(くさびじょう)欠損(現在はNCCL: non-carious cervical lesion と呼びます)は、
かつて「横磨きのしすぎ」が主原因と考えられがちでしたが、
現在はブラッシング単独で起こると説明するのは不十分で、
咬合応力・酸・ブラッシング摩耗が重なって生じる
多因子性病変と考えるのが主流です。
1. いちばん大事なポイント
「ブラッシングより咬合応力のほうが本質的に重要な要素である」
という考えは有力ではあります。
ただし、ここは誤解があり、
咬合応力だけで必ず楔状欠損ができ
ブラッシングは関係ない
とまでは言いきれません。
現在のエビデンスでは、
ブラッシング摩耗は関与する
咬合応力も関与する
酸蝕が加わると進みやすい
どれが主因かは患者ごとに違う
という考えが最も妥当です。
2. なぜ「咬合応力」が重視されるのか
いわゆるアブフラクション(abfraction)の考え方です。
これは、
「食いしばり・歯ぎしり」や不均衡な咬合力などで歯頸部に応力が集中し、その部位に微小破壊や疲労が起こりやすくなるという仮説です。
2017年のsystematic reviewでは、
多くの研究が咬合応力とNCCLの関連を支持しており、臨床研究だけで「応力単独が原因」とまでは証明されていないものの、関連自体は支持されると結論づけています。
一方で、2006年の批判的レビューでは、
abfractionは実験室レベルの支持はあるが、臨床で単独原因として確立したとは言えないとされており、今でも完全決着ではありません。
つまり、
咬合応力は非常に有力であるが、それだけで全て説明できるほど単純ではないというのが、現在の現実的な見解です。
3. なぜブラッシングだけでは説明しにくいのか
ブラッシング説だけでは説明しにくい点があります。
たとえば、
特定の歯にだけ強く出る
小臼歯・犬歯に目立つことが多い
形が鋭いV字になることがある
食いしばりが強い人で多く見られる
こうした特徴は、単なる歯ブラシ摩耗だけでは説明しにくく、
歯頸部への応力集中を考えたほうが理解しやすい場面があります。
2023年のレビューでも、過度な歯磨きや酸性飲食は関与する一方、咬合因子も提唱され続けており、その点はなお論争的と整理されています。
4. ではブラッシングはどの位置づけか
ブラッシングは軽視できません。
実験研究では、歯磨剤を用いた水平ブラッシングでNCCL様の病変を再現できたとする報告があり、歯ブラシ摩耗が形成や進行に関与すること自体は支持されています。
臨床的には、
咬合応力で歯頸部が弱くなる
酸で歯質が軟化する
その上にブラッシング摩耗が加わる
という複合モデルが最も有力な考えです。
5. 補綴専門医的にはどう見るか
実際の診療では、知覚過敏や楔状欠損がある患者さんで
よく重複している事項は、
・食いしばり・歯ぎしり
・咬耗
・歯肉退縮
・強い横磨き
・非常に硬い毛の歯ブラシ使用
・酸性飲食習慣
です。
このため、
「しみるから薬を塗る」だけ
「歯磨きが強いですね」で終わる
では不十分なことが多いです。
特に、
同じ場所が何度も欠ける
白い材料(コンポジットレジン)を詰めても外れやすい
小臼歯部に左右対称性に出る
咬耗や咬筋肥大がある
このような場合は、咬合因子の評価をかなり重視すべきです。
その考え方は、abfraction単独説を断定しないとしても、現在のレビュー群と整合的です。
6. 実際の対処法
原因が複合なので、対処も複合です。
1. ブラッシング修正
やわらかめ〜ふつうの歯ブラシ、過圧を避ける、強い横磨きを減らす。
研磨性の高い歯磨剤の使い方も見直します。
2. 酸蝕対策
炭酸飲料、スポーツドリンク、柑橘類、ワイン、逆流などの評価。
酸曝露が多いと歯頸部の歯質は削れやすくなります。
3. 咬合評価
早期接触、側方干渉、食いしばり、歯ぎしり、
咬耗、補綴物の接触状態を確認。
必要ならナイトガードや咬合調整(慎重に対応)
の適応を検討します。
4. 症状への直接対応
知覚過敏抑制材、レジン修復、必要に応じて修復物の設計見直し。
2023年レビューでも、まず予防的・保存的対応を重視し、必要時に修復する流れが勧められています。
症状の程度によって治療方法が変わります。
当院での具体的対応
1 知覚過敏を抑える薬剤
歯の表面に薬を塗り、
象牙質の細い管をふさいで刺激を伝わりにくくします。
主な薬剤
フッ素
知覚過敏抑制剤
グルタルアルデヒド系薬剤
これだけでも症状がする場合があります。
2 レーザー治療
レーザーを歯に照射することで
象牙細管を封鎖
神経の刺激を抑制
する効果があります。
【特徴】
・痛みが少ない
・麻酔不要
・即効性がある場合が多い
・知覚過敏の治療として
現在、多くの歯科医院で行われています。
3 イオン導入法
電気の力を利用して
フッ素などの成分を歯の内部に浸透させる方法です。
象牙質の細管を封鎖することで
知覚過敏を改善します。
現在はレーザー治療が普及したため
行っている医院は減っていますが、
有効な方法の一つです。
4 レジンコーティング
歯の根元が削れている場合
樹脂(コンポジットレジン)で歯を覆う治療
を行うことがあります。
【効果】
・刺激が直接伝わらない
・即効性が高い
5 ナイトガード
知覚過敏の原因が
・食いしばり
・歯ぎしり
の影響が強い場合は
マウスピース(ナイトガード)
を使用します。
噛む力を分散することで
歯への負担を減らします。
6 知覚過敏は原因治療が重要です
知覚過敏の原因は
強すぎる歯磨き
食いしばり
歯ぎしり
歯ぐきが下がる
酸性飲食
など様々です。
そのため
症状だけでなく原因を確認することが大切です。
7. まとめ
楔状欠損の本当の主因を一つだけに決めることはできません。
ただし現在の理解では、
横磨きだけの問題ではなく、 咬合応力がかなり重要な役割を持つと考えるのが妥当です。
楔状欠損は、強い歯磨きだけで起こるとは限りません。
食いしばりや歯ぎしりなどの力、酸による歯質の弱化、ブラッシング摩耗が重なって起こることが多い病変です。
「歯が痛いのに虫歯じゃない?」
「冷たいものがしみる」
「歯がキーンと痛む」
このような症状で来院される患者さんは
非常に多いと感じています。
しかし、歯の痛みは、必ずしも歯そのものの病気
が原因とは限らないことがあります。
歯科で検査をしても
・虫歯
・歯髄炎
・歯周病
などが見つからない場合、
非歯原性歯痛(ひしげんせいしつう)の可能性が考えられます。
非歯原性歯痛とは
歯や歯周組織以外の原因で起こる歯の痛みのことを指します。
特に
「キーン」と響く痛み
頭まで響く痛みは
歯の治療をしても治らない痛みとして、この可能性が考えられます。
① 神経血管性歯痛
頭痛が原因で歯が痛くなるタイプです。
三叉神経が刺激されることで歯の痛みとして感じることがあります。
② 神経障害性歯痛
歯の痛みを伝える神経に異常があるケースです。
代表的なもの三叉神経痛・帯状疱疹後神経痛
③ 筋・筋膜性歯痛
顎や首の筋肉の緊張が歯の痛みとして感じられるケースです。
原因
歯ぎしり
食いしばり
顎関節症
ストレス
姿勢の悪さ
特に
咬筋・側頭筋
の緊張が歯の痛みとして現れることがあります。
④ 特発性歯痛(非定型歯痛)
さまざまな検査を行っても原因が特定できない歯痛です。
中枢神経の痛覚調節異常が関係していると考えられています。
●歯が原因ではない歯痛(非歯原性歯痛)の歯科での対応
まず重要なのは
「歯が原因かどうかを確実に判断すること」
です。
歯科臨床では
非歯原性歯痛を歯の問題と誤診して
・不必要な根管治療
・不必要な抜歯
が行われるケースがあります。
そのため歯科では
診断 → 鑑別 → 対応
の順で考えます。
①まず歯原性歯痛を除外する
最初に行うのは
歯が原因かどうかの評価です。
主な診査
【歯の診査】
・う蝕
・歯髄炎
・歯根破折
・歯周病
・歯髄診査
・冷温診
・電気歯髄診
・咬合診査
・咬合接触
・咬合干渉
・歯ぎしり
・X線
・根尖病変
・歯根破折
・副鼻腔
ここで
歯に原因がない
と判断された場合に
非歯原性歯痛を疑います。
②筋筋膜性歯痛(最も多い)
歯科臨床で非常に多いのが
筋由来の関連痛です。
【原因筋】
・咬筋
・側頭筋
・外側翼突筋
・胸鎖乳突筋
これらには
トリガーポイントが存在します。
例えば
側頭筋トリガーポイント
→ 上顎臼歯痛として感じる
●診断のポイント
【特徴的な症状】
・朝に痛い
・噛むと痛い
・こめかみを押すと歯が痛い
・咀嚼筋圧痛
これは
TMD関連痛と呼ばれます。
【歯科での対応】
・咬合ストレスの軽減
・ナイトガード
・咬合調整(必要な場合)
・筋緊張の改善
・咀嚼筋マッサージ
・ストレッチ指導
・生活指導
・TCH(歯列接触癖)改善
・食いしばり対策
③神経障害性歯痛
神経の異常による歯痛です。
代表
三叉神経痛
帯状疱疹後神経痛
【特徴】
三叉神経痛
電撃痛
数秒の痛み
トリガーポイント
【誘発】
歯ブラシ
会話
風
【歯科での対応】
歯科治療では改善しないため
基本は専門医紹介になります。
紹介先
・神経内科
・脳神経外科
・ペインクリニック
④神経血管性歯痛
これは歯科で非常に見逃されやすい原因です。
【原因】
・片頭痛
・群発頭痛
これらは
三叉神経血管系
を介して
歯痛として感じることがあります。
【特徴】
・拍動痛
・発作性
・光過敏
・吐き気
この場合、歯の治療では改善しません。
【歯科での対応】
対応は
頭痛専門医紹介
です。
紹介先
・神経内科
・頭痛外来
⑤特発性歯痛(非定型歯痛)
原因が特定できない歯痛です。
【原因】
中枢神経の痛覚調節異常と考えられています。
【特徴】
・持続痛
・移動痛
歯科治療無効
この場合
歯科治療は原則行いません。
【対応】
専門医紹介
紹介先
ペインクリニック
心療内科
⑥統合的な理解(臨床では複合原因が多い)
実際の臨床では
単独原因より
複合原因
が多いです。
例
咬合ストレス
+
筋緊張
+
片頭痛体質
↓
三叉神経感作
↓
歯痛として認識
三叉神経の中心的役割
顔面の痛みはすべて
三叉神経
に収束します。
関係する構造
歯
咀嚼筋
副鼻腔
頭痛
すべて
三叉神経系
で統合されます。
そのため
歯以外の問題が歯痛として感じられる
ことが起こります。
歯科臨床で最も多い原因
歯科臨床では
1️⃣ 咬合ストレス
2️⃣ 筋筋膜痛
3️⃣ 片頭痛
この3つの組み合わせが多いです。
補綴専門医として特に重要なポイント
歯科臨床で問題になるのは
非歯原性歯痛を歯として治療すること
です。
結果
不必要な根管治療
不必要な抜歯
が起こります。
そのため
歯科医の役割は
治療よりも
正確な診断
になります。
歯科での基本対応(まとめ)
歯が原因ではない歯痛の場合
歯科の対応は
①歯原性疾患の除外
↓
②筋筋膜痛の評価
↓
③神経障害性の鑑別
↓
④頭痛の評価
↓
⑤必要なら専門医紹介
になります。●歯周病治療・予防歯科にも力を入れています
歯周病は、歯を失う最大の原因であると同時に、
全身の健康にも影響する慢性疾患です。
当院では、を組み合わせ、
「進行させない」「再発させない」管理型治療を行っています。〇「お口の中のバイオフィルムと歯科との関係」
▷続きはこちらから〇メインテナンス(ブラッシング・ 補助的清掃器具・定期ケア)Q&A
▷続きはこちらから〇「歯ブラシだけでは無理」
▷続きはこちらから〇「歯ブラシの衛生的な管理方法について」
▷続きはこちらから〇「歯ブラシは歯周病予防に役立つが
虫歯予防にはならないという見解について」
▷続きはこちらから〇「歯周病患者さんのブラッシングについて」
▷続きはこちらから〇「歯周病と全身疾患の相互関係について」Q&A
▷続きはこちらから【恵比寿で歯周基本治療に力を入れている歯医者】
SHIRON DENTAL OFFICE -
超簡潔版【シロンのコラム】
●セラミック治療で後悔する人の共通点とは?
●根管治療は何回通う?「高いお金を払ったのに割れた」
「見た目が不自然」
「すぐやり直しになった」
セラミック治療の後悔相談は少なくありません。
しかし実は、
失敗の原因の多くは“素材”ではなく“設計力”です。
後悔する原因
・噛み合わせを厳密に診ていない
・装着後の噛み合わせのチェック調整をしていない
・安さ重視
・流れ作業治療
・適合精度不足
【成功のカギ】
☞咬合診断
☞ 精密形成(マイクロスコープ)
☞ 長期視点の設計
当院では
補綴専門医が「10年後基準」で設計します。
👉【無料カウンセリングはこちら】
●歯周病は自然に治る?根管治療は平均2〜4回。
ただし重要なのは回数ではなく「 精度 」です。
ラバーダム・マイクロスコープ・CT
これらが成功率を大きく左右します。
「何度も再治療を繰り返している方」こそ
専門的治療を受けてください。
👉【精密根管治療の相談はこちら】
●銀歯を白くしたい方へ結論:自然には治りません。
歯周病は
〇日本人の歯を失う原因1位
〇 自覚症状がほぼ無い
〇 全身疾患の多くに相互関係あり
早期のバイオフィルム除去が最重要です。
「痛くない今」が治療のベストタイミング
バイオフィルム:バイオフィルムとは、細菌が自分たちを守るために作り出す「ネバネバした膜」のことです。
歯の表面、歯と歯ぐきとの溝、舌、入れ歯、インプラントなどに付着して形成されます。
この膜の中では、細菌たちが「共同体」を作り、外からの刺激(唾液、抗菌薬、うがい薬など)から守られています。
つまり、一度できると簡単には落ちないのが特徴です。
👉【定期検診予約はこちら】
●詰め物・被せ物がすぐ取れる原因とは?比較
【見た目】
保険の金属 ×
セラミック ◎
【生体親和性】
保険の金属 ×
セラミック ◎
【経年劣化】
保険の金属 ×
セラミック ◎
【耐久性】
保険の金属 〇
セラミック ◎
【二次う蝕のリスク】
保険の金属 多い
セラミック 少ない
【歯肉が黒ずむリスク】
保険の金属 高い
セラミック ない
【清掃性】
保険の金属 悪い
セラミック 良い
【金属アレルギーのリスク】
保険の金属 高い
セラミック ない
【MRIへの影響】
保険の金属 影響する場合あり
セラミック ない
長期的に見るとセラミックの方が再治療する必要が少なく結果的に経済的。
「何度もやり直す歯科治療」から卒業しませんか?
👉【無料カウンセリングはこちら】
●できるだけ歯を削りたくない方へ原因の多くは
✔ 接着不良
✔ 噛み合わせ過重
✔ 精度不足
当院ではマイクロスコープ下でミクロン精度の治療を行っています。
“取れない治療”は作れます。
●口臭の本当の原因は?Minimal Intervention(最小限侵襲)
削らない
抜かない
壊さない
予防+早期管理が最良の治療です。
当院は“治療中心”ではなく“予防中心”の歯科医院です。
👉【無料カウンセリングはこちら】
●「入れ歯が痛い・噛めない…その理由と解決策」マウスウォッシュでは治りません。
原因は
☞ 舌苔
☞ むし歯・バイオフィルム
☞ 歯周ポケット
☞ 内科疾患
☞ ストレス
☞ 口腔内乾燥
専門的クリーニングで劇的改善するケースが多数。
「家族に言われた…」その時が受診サイン。
👉【無料カウンセリングはこちら】
●インプラントが怖い…不安な方へ
●恵比寿で歯医者をお探しの方へよくある不安
・手術が怖い
・痛そう
・失敗しない?
・何年持つ?
CT診断+適切な設計+メンテナンスで
10年以上安定使用が可能です。
正しい知識が不安を解消します。
👉【無料カウンセリングはこちら】
歯科医院選びで大切なのは
☞得意分野は何か
☞症例数
☞ 説明の丁寧さ
☞ 診断・治療に用いる最新精密機器の有無
☞ 再治療が少ない設計
☞ 長期管理体制
☞ 明瞭な料金体制
当院は「その場しのぎ」ではなく
“10年後の健康”を考える歯科医院です。
お気軽にご相談ください。
👉【WEB予約はこちら】●私たちが大切にしていること
― 補綴歯科の視点から考える治療 ―
同じ歯科治療を何度も繰り返していませんか?
●患者様へ
「治したのに、また悪くなる」
「詰め物が取れて、また削る」
「そのたびに歯が小さくなっていく」
実はこれ
あなたのケア不足だけが原因とは限りません
多くの場合
「その場しのぎの設計」 が原因です
当院は
悪い歯をただ治すのではなく
「どうすれば10年後も壊れないか」
ここから逆算して治療を組み立てます
・噛み合わせ
・力のバランス
・顎の動き
・周囲組織との調和
お口全体を一つのシステムとして診る
それが、補綴(ほてつ)専門医の治療です
・治療回数を減らし
・再発を防ぎ
・できるだけ歯を削らない
これが私たちのゴールです
あなたの歯を
「その場だけ治す歯科」ではなく
「一生守りきる歯科」でありたい
歯科治療は、人生に長く影響します。
だからこそ、
納得して選んでほしいと考えています。
web相談・電話相談どちらも対応しております。
まずはご相談からどうぞお気軽に。
決めるのは患者様です。
-
- リクルート
- 当院では、歯科助手および歯科衛生士さんを募集しております。
週1日でも、午前だけ午後だけでも対応しておりますので、お気軽にお問合せいただければ幸いです。
詳しくは求人案内をご覧ください
渋谷区恵比寿の歯科医院「シロンデンタルオフィス」
当院について
治療について
診療案内
渋谷区恵比寿の歯科医院「シロンデンタルオフィス」の症例
症例 左下奥歯3本のメタルインレー をセラミックインレーで 再修復した症例 左下6,7,8番を モノリシックジルコニア インレーで修復し審美的および 機能的改善を行ったケース
Before
After
| 治療期間・回数 | 治療期間14日で2回来院。 |
|---|---|
| 費用 (自由診療となります) |
総額 231000円(税込み) 診査・診断・術前術後の説明費用含む。 |
| リスク・副作用 | セラミックの破折、脱離。2次う蝕。 |
症例 メタルインレーの入っている左下一番奥の歯をセラミックインレーで修復した症例
Before
After
| 治療期間・回数 | 治療期間14日で2回来院。 |
|---|---|
| 費用 (自由診療となります) |
総額 77000円(税込み) 診査・診断・術前術後の説明費用含む。 |
| リスク・副作用 | セラミックの破折、脱離。2次う蝕。 |
治療を決める前に、まずはお気軽にご相談ください。
診療時間
| 時間 \ 曜日 | 月 | 火 | 水 | 木 | 金 | 土 | 日 |
|---|---|---|---|---|---|---|---|
| 午前 9:30〜13:00 土曜 9:00〜12:30 |
● | ● | / | ● | ● | ● | / |
| 午後 14:30〜19:00 土曜 14:00〜18:00 |
● | ● | / | ● | ● | ● | / |
休診日 水・日・祝日
【恵比寿の歯医者】補綴専門医による精密治療
SHIRON DENTAL OFFICE
コラム
2026年3月26日
補綴専門医がラバーダム防湿を重視する理由
2026年3月26日
井戸水とピロリ菌についてのお話
2026年3月26日
SHIRON DENTAL OFFICEの歯がしみる、痛むなど知覚過敏への対応
2026年3月24日
インプラント周囲炎の完全解説
2026年3月24日
🧒 子どもの虫歯と鉄不足の関係
この記事を読んで、
「自分の場合はどうなのか?」と感じた方へ
・状況によって最適な治療法は異なります
・当院では、無理に治療を勧めることは
ありません
・納得して選ぶために、まずはお気軽に
ご相談ください




HPのお問合せメールフォームから



















