右下奥歯2本のメタルインレーを除去しモノリシックジルコニアインレーで修復した症例 ・ 右下6,7番をモノリシックジルコニアインレーで修復し審美的および機能的改善を行ったケース
Before
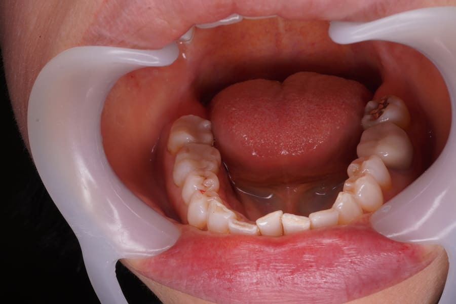
術前(2025年12月)
After
術後(2025年1月)
After
| 主訴 | 下の奥歯の銀歯見た目が気になる。 特に外側の縦に走る銀が気になる。 金属アレルギーが心配。 銀の溶出による着色が心配。 |
|---|---|
| 性別 | 女性 |
| 年齢 | 40代 |
| 治療内容 | 下顎右側6,7番にメタルインレーが装着されている。まず見た目を治したい。 出来るだけ体に害のない材料で治したい。 右下6,7番既存のメタルインレーは咬合面から頬側に及ぶ窩洞であった。 縦溝の存在とブラキシズムがあり夜間ナイトガードを装着している。 破折予防に重点を置き審美性重視のポーセレンe-maxではなく、強度重視のモノリシックジルコニアインレーで製作することとした。 シェード選択で頬側面上方と下方で色調が異なり、さらに咬合面の色調も異なるものであった。 患者さんの一番の訴えであり一番目立つ頬側の縦溝の色調を残存歯質頬側咬合面よりの色調と調和させた。 残存資質との色調をより調和させるために、レジンセメントの色調を2種類トライアルした。 レジンセメントはパナピアV5、セメントカラーはユニバーサルカラーを選択した。 ラバーダム防湿を行い右下6,7番の試適を行った。 適合に問題ないため、合着操作に移行した。 セラミック内面にサンドブラスト処理とセラミックプライマーを塗布した。 歯質の窩洞にはティースプライマーを塗布し20秒後にエアー処理した。 その後、パナピアVユニバーサルカラーで合着した。 Tack Cure(タックキュア)を併用してセメント除去を行った。 硬化後、単探やデンタルフロスを用い余剰セメントを除去した。 その後、ビトリファイドダイヤを用いマージンのすり合わせと咬合調整を行い、グロスマスターZR、ジルグロスで研磨を行った。 この際、研磨が非常に重要となります。 研磨が不十分であれば、非常に硬いジルコニアの場合、相手方の歯を簡単に減らしてしまいます。 形態の違う研磨器具を巧みに使い分けることで仕上げをしていきます。 合着後、咬合診査を行い合着時の誤差を確認し僅かな調整が必要であったため再度、調整、形態修正、研磨を行った。 合着1週間後に各種チェックを行った。 僅かに咬合調整の必要があり、調整、研磨を十分慎重に行い鏡面研磨を行い終了した。 |
| 治療期間・回数 | 10日で2回来院。 |
| 費用 (自由診療となります) |
総額 154000円(税込み) 診査・診断・術前術後の説明費用含む。 |
| リスク・副作用 | セラミックの破折、脱離。2次う蝕。 |


