【抜歯と言われた歯を保存】 根の病気で骨が大きく溶けた 歯を残せた症例(根管治療)
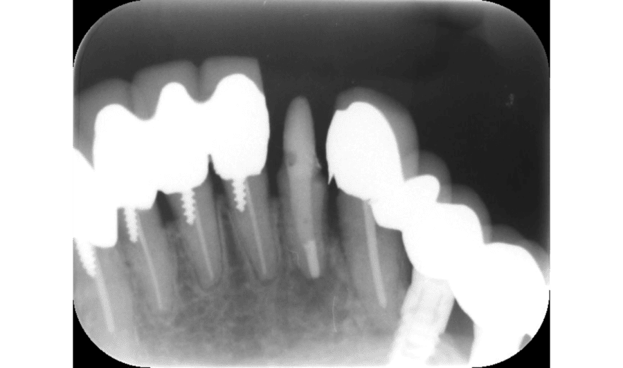
Before
術前(骨が大きく溶けた状態)
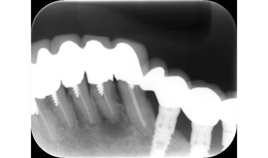
After
根管充填後(約2週間後)
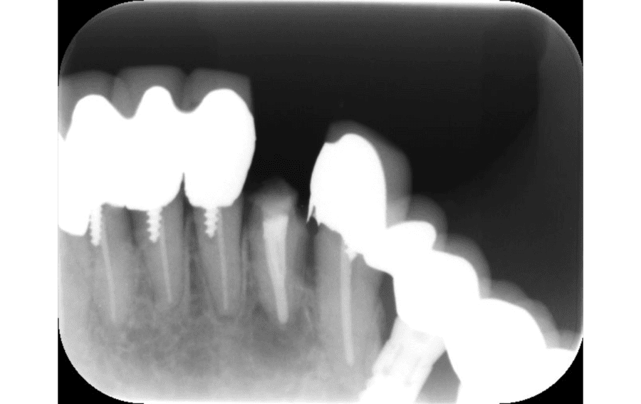
After
約4か月後(骨の回復が認められる)
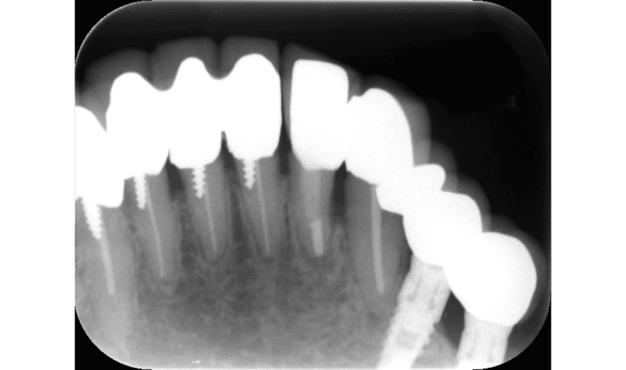
After
16か月後(さらに骨が回復している)
After
セラミッククラウン装着後
| 性別 | 女性 |
|---|---|
| 年齢 | 70代 |
| 症例概要・補綴専門医の分析 |
■ 患者さんのお悩み ■ 結論 その後、セラミッククラウンにより ■ なぜこの状態になったのか 原因は複数ありました。 これらが重なり、根の先に大きな病変 ■ 治療前の状態 骨の消失範囲は10mm以上と大きく、 ■ 治療のポイント ■② すぐに被せないことが、 根の治療後、すぐにセラミックは入れません ■③ 歯周治療とセルフケア改善 原因の一つである歯周環境も同時に改善 オールセラミッククラウン ■ 補綴専門医の視点 「根管治療・歯周治療・補綴治療」 「治療の順番」 いきなり被せない ■ 結果 歯を残すことができました ■ この症例で大切なこと 骨が大きく溶けていても 抜歯と諦める前に |
| 治療期間・回数 | 治療期間:12ヶ月 来院回数:16回 |
| 費用 (自由診療となります) |
■ 費用 根管治療:保険診療 被せ物(土台・クラウン):自由診療 |
| リスク・副作用 | セラミックの破折・脱離 |
| 術後の対策 補綴専門医の視点 | ■ 術後の管理 ■ ご相談について |


