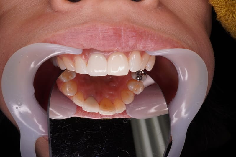
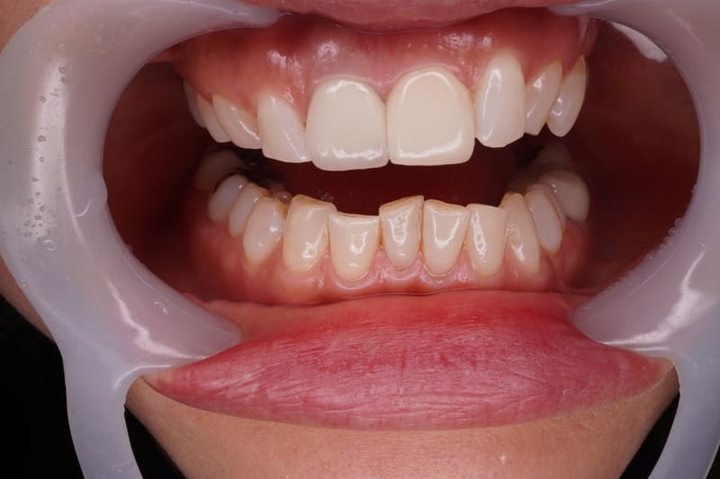
症例 上顎の真ん中前歯2本を補綴修復した症例
Before
After
After
After
| 治療内容 | ・上顎左側中切歯を無形成で一切削らずにポーセレンラミ ネートべニアで修復 ・上顎右側中切歯をオールセラミッククラウンで修復して上顎前歯部の審美的および機能的改善を行ったケース 患者さんの訴え:上の前歯の隙間が気になる。 上の前歯の左右での色の差が気になる。 右上のセラミックの被せ物の歯茎の際の部分の茶色いラインが気になる。 上顎中切歯正中離開と左側1、2番間に歯間離開があり、左側中切歯の舌側転移による1,1間の位置異常があり、上顎左右中切歯の色調不良、上顎左側中切歯オールセラミッククラウンの唇側マージン部適合不良が認められた。以上の改善を図るため、検討を行った。 患者さんは矯正を希望されなかったため、補綴的に改善を計画した。 身長や顔面の長径と幅径から現在の中切歯よりやや幅広な形態とする方が審美的に良好な結果が得られると診断した。 上顎左側中切歯がやや舌側転移しており、それを利用して右側との唇側豊隆のバランスをとることができたため、左側上顎中切歯は無形成で一切歯を削ることなくポーセレンラミネートべニア修復する計画を立てた。 上顎右側中切歯のオールセラミッククラウンは、審美的に優れたジルコニアフレームにポーセレンを積層する方法で製作予定とした。 上顎右側中切歯オールセラミッククラウンを除去、支台歯形成後プロビジョナルレストレーション(仮歯)を調整試適し左側の豊隆に合わせながら唇側豊隆を整え切縁の形態とともに近遠心の幅を左右でバランスをとりながら形態を調整し隙間を閉鎖する形態を模索した。 ラミネートべニアとオールセラミッククラウンで色調を調和させるために、レジンセメントの色調を数種類トライアルし明度の高い最適なセメントで左右のセラミックの色調を調和できるようにした。 レジンセメントはパナピアV5、セメントカラーはブリーチを選択した。 上顎右側中切歯のオールセラミッククラウンを試適しコンタクトの確認と咬合調整して研磨を行った。 その際、ラミネートべニアと接触するコンタクト部分の調整を若干行い研磨した。 上顎左側中切歯のラミネートべニアを試適して適合に問題がないこと、右側との形態的色調的なバランスがとれていることを確認してからセメントの色調を決定するため数種類の色調の違うセメントの中から審美的に左右の最も調和がとれ明るさの高いセメントを選択し合着を行った。 合着後、咬合調整、形態修正、研磨を行った。 合着1週間後に各種チェックを行い若干の調整、研磨を行った。 |
|---|---|
| 治療期間・回数 | 治療期間46日で4回来院。術前(2024年10月)術後(2024年11月) |
| 費用 (自由診療となります) |
総額 308000円(税込み) 診査・診断・術前術後の説明費用含む。 |
| リスク・副作用 | セラミックの破折、脱離。上顎左側中切歯の知覚過敏反応。歯肉の退縮。 |


