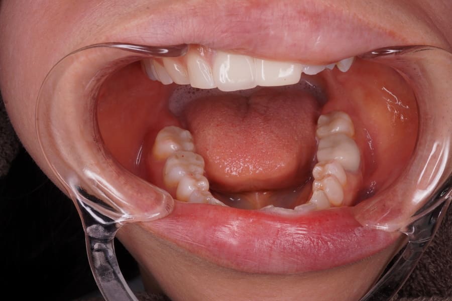
症例 メタルインレーの入っている左下一番奥の歯をセラミックインレーで修復した症例
Before
After
| 主訴 |
右下の奥2本をメタルインレーからセラミックインレーに変えて
満足したが、今度は左下一番奥のメタルインレーが気になるようになった。
左下の奥歯の銀歯もセラミックに治したい。
このままだと銀の溶出による着色が心配。
|
| 性別 |
女性 |
| 年齢 |
43歳 |
| 症例概要・補綴専門医の分析 |
左下7番をモノリシックジルコニアインレーで修復し審美的および機能的改善を行ったケース
左下7番にメタルインレーが装着されている。
右下7番既存のメタルインレーは咬合面
のみの窩洞であった。
ブラキシズムがあり夜間ナイトガードを
装着している。
患者さんは当初からセラミック修復を希望されていたが
コンポジットレジン修復についての説明も行い、
両方の利点・欠点・特徴について確認していただいた。
その結果、セラミック修復で行うこととした。
セラミック修復材料の選択については、
ナイトガードを毎日着用することを前提で、
審美性重視のポーセレンe-maxではなく、
破折予防に重点を置き強度重視の
モノリシックジルコニアインレーで
製作することとした。
メタルインレー除去。
窩洞形成
印象採得
精密咬合採得
対合歯印象採得
を行った。
シェード選択では咬合面単一窩洞であり
咬合面の残存資質の色調を基本に
色調選択(VitaC1)を行った。
残存資質との色調をより調和させるために、
レジンセメントの色調を2種類トライアルした。
その結果、レジンセメントはパナピアV5の
ユニバーサルカラーを選択した。
ラバーダム防湿を行い左下7番の試適を行った。
適合に問題ないため、合着操作に移行した。
セラミック内面にサンドブラスト処理と
セラミックプライマーを塗布した。
歯質の窩洞にはティースプライマーを塗布し
20秒後にエアー処理した。
その後、パナピアV5ユニバーサルカラー
を用いて合着した。
窩洞内へ直接セメントを注入し、
その後インレー体内面にセメントを付着させてから
窩洞へ移動、圧接した。
インレー体への圧接をピンセットで行いながら
小綿球により余剰セメントを大まかにふき取った。
その後、Tack Cure(タックキュア)を併用して
セメント除去を行った。
硬化後、単探やデンタルフロスを用い
余剰セメントを除去した。
再度、光照射器で咬合面方向から照射を行った。
その後、ビトリファイドダイヤを用いマージンのすり合わせと咬合調整を行い、グロスマスターZR、ジルグロスで研磨を行った。
【補綴専門医の視点】
ラバーダム防湿が必須となります。
▷セラミック修復物のレジンセメント合着におけるラバーダム防湿の重要性
▷補綴専門医がラバーダムを重視する理由
合着後の研磨が非常に重要となります。
研磨が不十分であれば、非常に硬いジルコニアの場合、相手方の歯を簡単に減らしてしまいます。
形態の違う研磨器具を巧みに使い分けることで仕上げをしていきます。
合着後、咬合診査を行い合着時の誤差も含めて確認し僅かな調整が必要であったため調整、形態修正、研磨を行った。
合着1週間後に各種チェックを行った。
咬合に問題はなくさらに研磨を十分慎重に行い鏡面研磨として終了した。
|
| 治療期間・回数 |
治療期間14日で2回来院。
|
費用 (自由診療となります) |
総額 77000円(税込み) 診査・診断・術前術後の説明費用含む。
|
| リスク・副作用 |
セラミックの破折、脱離。2次う蝕。
|
Copyright © 2022-2026 Shiron Dental Office. All Rights Reserved.